耳鼻喉科成功为一患者切除侵犯颅底及颞下窝处的巨大鼻咽纤维血管瘤
近日我院耳鼻咽喉头颈外科通过与介入科协作,采用鼻内窥镜下经鼻腔-泪前隐窝径路成功为一患者切除侵犯颅底及颞下窝处的巨大鼻咽纤维血管瘤。该肿瘤占据左鼻腔、鼻咽部、翼腭窝,侵犯至左侧前中颅窝底部及左侧颞下窝处,切除该肿瘤运用了多个新技术,手术不仅出血较少,并在术后获得了良好的质量效果,传统手术需经腭部及鼻侧联合切开,切除腭部及上颌骨大部分骨质才能暴露肿瘤,出血多,损伤大,而且术后留较大疤痕等并发症。
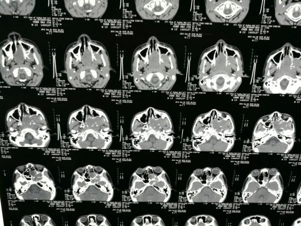
患者,陈某,男,13岁,安徽萧县人。因左侧鼻腔反复流涕及鼻塞1月来我院耳鼻咽喉科就诊,许学谷主任医师经鼻内窥镜检查发现患者左侧鼻腔内后半部为有较大光滑红色新生物占据。遂安排患者住院诊治。入院后行鼻窦CT及MRI检查。


CT显示:左侧前中颅底部示不规则团块影,边界不清,密度欠均匀,临近骨质压迫、吸收,局部骨质欠连续,病变向筛窦、蝶窦、左侧鼻道、鼻咽腔、左侧眼眶及左侧颅内突出,与左侧海绵窦分界不清,左侧蝶窦、上颌窦及筛窦、左侧鼻甲形态不整,鼻咽腔变窄。

MR显示:左侧鼻咽腔、翼腭窝及筛窦富血供伴颅底骨破坏
初步诊断:鼻咽纤维血管瘤(Ⅳa期)。
鼻咽纤维血管瘤是一种好发于10~25岁青年男性、富含血管的良性肿瘤,但由于侵犯周围组织能力较强,可有严重并发症.目前该病仍以手术治疗为主,但因为术中出血凶猛且易残留致复发,手术难度大,所以对开展此手术医院的综合实力有较高要求。
在告知患者家属此手术有较大风险后,曾建议患者家属去北京及上海的著名耳鼻喉医院进行诊治,但是由于患者的家庭经济原因及对徐医附院的莫大信任,患者家属坚持要求在我科进行手术治疗。
经耳鼻喉科李培华主任、刘稳副主任、许学谷主任医师、张旭主任医师、曹恒明副主任医师及华夏主治医师等讨论病情,一致认为:1、该鼻咽纤维血管瘤巨大,很可能是颈外动脉及颈内动脉系统双重供血,术前需请介入科会诊行DSA检查,明确肿瘤供血情况,并根据DSA检查情况行载瘤血管栓塞以减少术中出血。2、肿瘤血供丰富,术中出血量可能很大,并且而且肿瘤侵犯至中颅窝,有颅内并发症的风险。鉴于手术风险大,止血困难,要做好改变术式的备选手术方案以及抢救准备。3、进一步与患者家属沟通,告知手术风险。
患者经介入科张庆桥主任医师会诊后遂转入介入科。于9月20日由介入科崔艳峰副主任医师、王文亮主治医师为患者行DSA检查,术中见瘤体由左侧颈外动脉的颌内动脉和脑膜中动脉及颈内动脉一分支供血,用明胶海绵微粒栓塞颈外动脉支,为了避免明胶海绵颗粒反流引起的严重颅内并发症,用微弹簧圈2枚阻断肿瘤的颈内动脉供血,手术顺利,术后返回耳鼻喉病房。刘稳副主任和张旭主任医师主持下,精心制订手术方案,完善术前准备,同时为患者备血2000ml。

9月22 日中午,麻醉科王光磊主任医师为患者实施全身麻醉,由刘稳副主任,张旭主任医师主持及华夏主治医师配合下,为患者行鼻内窥镜下经鼻腔-泪前隐窝径路鼻咽纤维血管瘤切除术,术中见肿瘤占据左鼻腔、鼻咽部、翼腭窝已侵犯至颞下窝及蝶窦前外侧的中颅窝,肿瘤体积大、侵犯范围广,术中应用超生刀、高频电刀的先进设备,逐次分块切除肿瘤,由于肿瘤体积较大,无法从鼻腔中取出,最后将肿瘤推入口咽部置开口器经口将肿瘤取出。手术持续约5小时,术中出血量不到550ml。患者于术后6天后逐渐抽取鼻腔填塞物,无大出血、脑脊液漏、颅内感染、复视、视力下降等相关并发症。现已顺利出院。
术后病理:(鼻咽)符合血管纤维瘤。

术中止血使用的高频电刀
此次手术的成功得益于耳鼻咽喉头颈外科各级医师的共同合作、介入科的精诚协作以及麻醉科和手术室的全力配合,更有患者家属对我院医疗技术的信任及肯定。今后随着交叉学科火花的迸射,多学科综合治疗的进一步加强,相信我科也在相关外科领域的发展会更是一层楼。
扫一扫 手机端浏览
